치아 뜻
치아 뜻과 이해하기
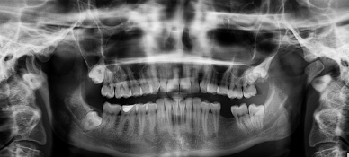
치아는 사람이나 동물의 입 안에 있는 단단한 구조물로, 음식을 씹고, 발음을 도우며, 얼굴의 형태를 유지하는 중요한 역할을 합니다. 흔히 이(齒)라고도 불리며, 치아는 생물의 소화 과정에서 첫 번째로 작용하는 기관입니다.
치아의 주요 기능
- 음식 섭취와 소화
치아는 음식을 잘게 부수고 으깨는 역할을 하여, 소화기관이 효율적으로 음식을 처리할 수 있도록 돕습니다. - 발음 보조
치아는 혀와 함께 다양한 소리를 발음하는 데 중요한 역할을 합니다. 특히, 'ㅅ', 'ㅈ', 'ㅊ' 같은 발음에서 치아의 기능이 필요합니다. - 얼굴 형태 유지
치아는 입과 턱의 형태를 유지하며, 치아의 배치는 얼굴의 외모에도 큰 영향을 줍니다.



치아의 구조
치아는 크게 세 부분으로 나뉩니다:
- 치관(齒冠):
입 안에서 보이는 부분으로, 음식물을 직접 부수고 씹는 역할을 합니다.- 법랑질: 치아 표면을 덮고 있는 가장 단단한 조직.
- 상아질: 법랑질 아래에 위치하며, 치아의 주된 구조를 이룹니다.
- 치경(齒頸):
잇몸과 접촉하는 부분으로, 치아와 잇몸을 연결하는 역할을 합니다. - 치근(齒根):
잇몸 안쪽에 박혀 있는 부분으로, 치아를 턱뼈에 고정시키며 안정성을 제공합니다.- 치근은 치수(신경과 혈관이 모여 있는 부분)를 보호합니다.



치아의 종류
사람의 치아는 역할에 따라 여러 종류로 나뉩니다:
- 앞니(절치)
- 위치: 입의 앞쪽
- 기능: 음식을 자르고 깨무는 역할
- 송곳니(견치)
- 위치: 앞니 옆
- 기능: 음식물을 찢고 강하게 물어뜯는 역할
- 어금니(구치)
- 위치: 입의 뒤쪽
- 기능: 음식을 갈고 부수는 역할
- 소구치와 대구치로 나뉩니다.
- 사랑니(제3대구치)
- 위치: 어금니의 가장 뒤쪽
- 기능: 현재는 기능이 거의 없으며, 일부 사람에게는 아예 나지 않기도 합니다.
치아 관리의 중요성
치아는 한 번 손상되면 자연적으로 회복되지 않기 때문에, 꾸준히 관리해야 합니다. 건강한 치아는 삶의 질에 큰 영향을 미칩니다.
치아 관리 방법:
- 양치질
하루 2~3회, 올바른 방법으로 양치질하여 플라크와 음식 찌꺼기를 제거하세요.- 칫솔을 45도 각도로 기울여 잇몸과 치아 경계를 부드럽게 닦는 것이 좋습니다.
- 치실 사용
칫솔로 닿지 않는 치아 사이의 음식물을 제거하기 위해 치실을 사용하세요. - 정기적인 치과 검진
6개월마다 치과를 방문해 충치, 잇몸 질환 등을 점검하고 스케일링을 받으세요. - 건강한 식습관 유지
설탕이 많은 음식 섭취를 줄이고, 치아 건강에 좋은 음식(우유, 치즈 등)을 섭취하세요.



치아와 관련된 질환
1. 충치(치아우식증)
- 원인: 플라크 속 세균이 설탕을 분해해 산을 만들어 치아를 부식.
- 예방: 양치질과 치실 사용, 정기적인 치과 검진.
2. 치주염(잇몸병)
- 원인: 잇몸의 염증이 심해져 치아를 지지하는 조직과 뼈가 손상.
- 예방: 정기적인 스케일링과 잇몸 관리.
3. 치아 마모증
- 원인: 치아가 과도하게 닳아 민감해지고 기능이 저하.
- 예방: 이를 갈지 않도록 주의하고, 부드러운 칫솔을 사용.
4. 사랑니 문제
- 원인: 사랑니가 비정상적으로 나거나 주변 치아에 영향을 줌.
- 치료: 문제 발생 시 발치가 필요.
결론
치아는 우리의 건강과 삶의 질에 큰 영향을 미치는 중요한 신체 부위입니다. 음식물을 섭취하고 소화하며, 발음과 얼굴 형태를 유지하는 데 필수적인 역할을 합니다. 치아를 건강하게 유지하려면 올바른 관리 습관과 정기적인 치과 검진이 필요합니다. 건강한 치아로 평생 편안한 삶을 누리세요!
치아 FAQ
Q. 치아란 무엇인가요?
A. 치아는 사람이나 동물의 입 안에 있는 단단한 구조물로, 음식을 씹고, 발음을 돕고, 얼굴의 형태를 유지하는 데 중요한 역할을 합니다.
Q. 치아는 어떤 구조로 이루어져 있나요?
A. 치아는 크게 치관(겉으로 보이는 부분), 치경(잇몸과 연결된 부분), **치근(잇몸 속에 있는 뿌리)**로 나뉘며, 각각의 부분은 법랑질, 상아질, 치수 등으로 구성되어 있습니다.
Q. 치아를 건강하게 유지하려면 어떻게 해야 하나요?
A. 하루 2~3회 올바른 양치질, 치실 사용, 정기적인 치과 검진, 설탕 섭취 제한, 치아에 좋은 음식 섭취(예: 우유, 치즈)를 실천하면 건강한 치아를 유지할 수 있습니다.
Q. 치아에 흔히 발생하는 문제는 무엇인가요?
A. 치아에 흔히 발생하는 문제로는 충치(치아우식증), 치주염(잇몸병), 치아 마모증, 사랑니 문제 등이 있습니다. 적절한 관리와 치료로 예방이 가능합니다.
치아 뜻
치아 뜻
치아 뜻
